審美治療
前歯の古い被せものをジルコニアクラウンで審美的に改善したケース

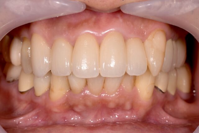
Before

After
| 主訴 | 前歯の見た目が良くないから治したい |
|---|---|
| 診断名 | 前歯部クラウンの不適合・変色 |
| 年齢・性別 | 50代 男性 |
| 治療期間・回数 | 約2ヶ月(保険根管治療含む) |
| 治療方法 | 前歯の被せものの見た目が気になるとのことで来院。根の状態が良くない歯があったため、まず保険にて根管治療を実施。治療完了後、グラスファイバーの土台を製作・装着し、精密な型取りを行った。ジルコニアクラウン5本を製作・装着し、咬み合わせを調整して完了。 |
| 費用 | ジルコニアクラウン 132,000円(税込)× 5本 = 合計 660,000円(税込) 別途:保険診療(根管治療・土台) |
| デメリット・注意点 | 全ての補綴物には脱離・破折の可能性があります。また、経年による歯茎の変化で補綴物の境目が見えることがあります。 |
治療詳細
-

支台歯形成後(古いクラウン除去)
古いクラウンをすべて除去した後の状態です。前歯5本の支台歯形成を行い、精密な型取りができるよう丁寧に整えています。根管治療が完了した歯にはグラスファイバーの土台(ファイバーコア)を装着し、支台歯の強度と審美性を高めています。
-

精密印象採得
シリコン系印象材を用いた精密印象の状態です。ジルコニアクラウンは適合精度が非常に重要なため、支台歯の形態を正確に再現する必要があります。前歯5本分の形態・咬み合わせ・歯茎のラインを一括で採得しています。
-

ジルコニアクラウン(模型上)
石膏模型上に5本のジルコニアクラウンを並べた状態です。形態・色調・隣接面のコンタクトを模型上でチェックし、口腔内に装着する前に適合を確認しています。単冠5本を連続して自然な歯列に仕上げるため、形態の統一感に特にこだわっています。
-

装着後(上顎前歯部)
ジルコニアクラウン5本を装着した直後の上顎前歯部のアップ写真です。天然歯に近い透明感と自然な色調が再現されており、歯茎との境目も違和感なく仕上がっています。咬み合わせの調整を行い、治療を完了しました。
赤坂見附・港区赤坂エリアで審美歯科をお考えの方へ。本症例では、変色・不適合のあった前歯5本を、ジルコニアクラウンによる審美的な修復で自然な歯列に回復しました。保険の根管治療から補綴まで一貫して対応できるのが青山通り歯科の強みです。前歯の見た目でお悩みの方は、ぜひご相談ください。
