むし歯
むし歯
タイトルなし

Before

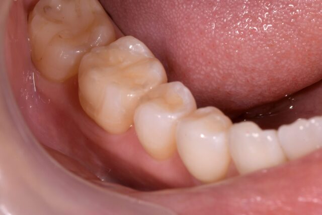
After
| 主訴 | 奥歯の黒いのが気になっている |
|---|---|
| 診断名 | 臼歯部咬合面う蝕 |
| 治療期間・回数 | 1回 |
| 治療方法 | 咬合面の虫歯の部分を削り、コンポジットレジンを詰めた。 咬み合わせを調整し研磨して完了。 詳細は以下、 |
| 費用 | 1カ所あたり、保険で2,000円程度 |
| デメリット・注意点 | 樹脂製の素材のため、経年劣化により素材の摩耗・変色が起こってきます。 |
受付時間 | 10:00~13:00 / 14:30~19:00
