審美治療
見た目が悪くなった古いかぶせ物を綺麗にしたケース

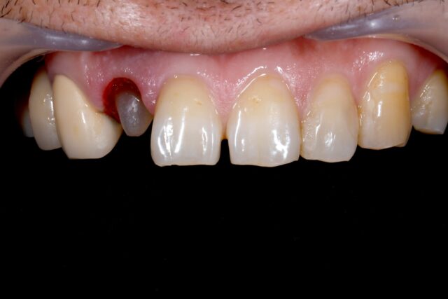
Before

After
| 主訴 | 前歯の根元が黒くなっているのが気になる。 |
|---|---|
| 診断名 | 前歯部メタルボンド不適 |
| 年齢・性別 | 40代男性 |
| 治療期間・回数 | 根の治療を含めて約3ヵ月 |
| 治療方法 | 他院で入れた前歯の見た目が気になっている。 土台が古く状態が良くないため、根の治療から始める。 根の治療完了後、グラスファイバーの土台を入れて綺麗に整えた。 仮歯を利用して歯茎の形を整え、セラミックを被せ治療完了。 ↓ 画像付き詳細は以下 ↓ |
| 費用 | 前歯のセラミッククラウン¥132,000 (保険治療にて根管処置もおこなっています) |
| デメリット・注意点 | 全ての補綴物には脱離・破折の可能性があります。 |
かぶせ物を外し、根の治療をおこなう。
以下は、根の治療が完了後のレントゲン。

グラスファイバーで土台を入れ、型取りをおこなう。
仮歯を使って歯茎のラインを1.0~1.5mm上に持ち上げる事で、境界線が歯茎から露出しなくなり綺麗な仕上がりになると共に、左右の歯茎の位置が対象に近づく。

セット後、1週間。徐々に歯茎の状態が自然になっていき、まるで歯が生えているかのような仕上がりになって行きます。

