マウスピース矯正
マウスピース矯正で前歯のズレを改善したケース

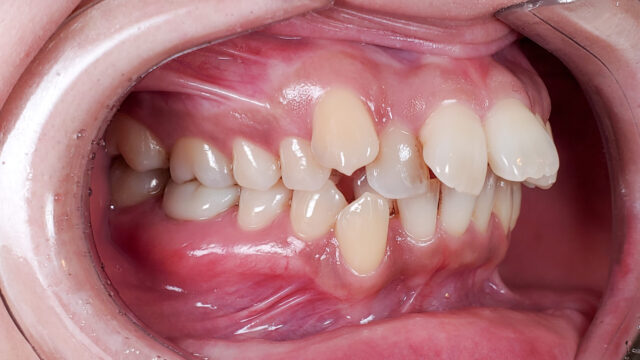
Before

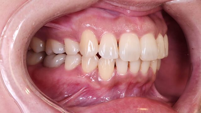
After
| 主訴 | 歯並びを綺麗にしたい |
|---|---|
| 診断名 | 上下前歯部叢生 |
| 年齢・性別 | 30代女性 |
| 治療期間・回数 | 約4年間 |
| 治療方法 | 前歯のズレが気になっているという事で来院。 右上小臼歯・右下前歯を1本ずつ抜歯し、マウスピースによる矯正治療。 ↓ 画像付き詳細は以下 ↓ |
| 費用 | マウスピース製作費 770,000円 定期健診 5,500円 リテーナー代 22,000円 計、およそ1,000,000円 |
矯正開始前


右上小臼歯・右下前歯を1本ずつ抜歯し、マウスピースによる矯正治療開始。

アタッチメントを装着。
下の奥歯にリンガルボタン装着。ゴムの力で上前歯を引くため、顎間ゴムの終日着用をお願いしました。

矯正完了後


