審美治療
セラミックで前歯の見た目を改善したケース

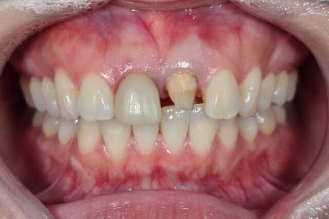
Before

After
| 主訴 | 他院でセットした前歯の被せ物の色・見た目が気になっていた。 出っ歯に見える。 歯の根元の色も黒い。 |
|---|---|
| 診断名 | 被せものの審美的な不良 |
| 年齢・性別 | 30代女性 |
| 治療期間・回数 | 根の治療を含めて約4ヵ月 |
| 治療方法 | 他院で入れた前歯の見た目が気になっている。 土台が古く状態が良くないため、根の治療から始める。 前歯2本の根の治療が完了したので、グラスファイバーの土台を入れて綺麗に整えた。 左右の歯茎を整え、セラミックを被せ治療完了。 ↓ 画像付き詳細は以下 ↓ |
| 費用 | 前歯のセラミッククラウン¥132,000×2本 (保険治療にて根管処置もおこなっています) |
| デメリット・注意点 | 全ての補綴物には脱離・破折の可能性があります。 |
土台が古く状態が良くないため、根の治療から始める。

前歯2本の根の治療が完了したので、グラスファイバーの土台を入れて綺麗に整えた。

最終状態の模型


左右の歯茎のラインも線対称に揃うよう調整しています。


