マウスピース矯正
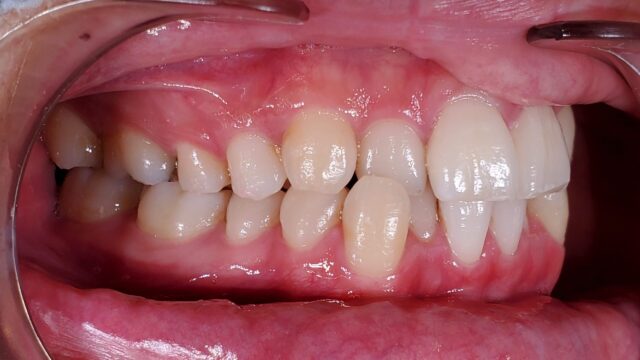
マウスピース矯正で前歯のズレを改善したケース

Before

After
| 主訴 | 歯並びを治したい。 |
|---|---|
| 診断名 | 上下前歯部叢生 側切歯クロスバイト(交叉咬合) |
| 年齢・性別 | 27歳男性 |
| 治療期間・回数 | 2年2ヶ月 |
| 治療方法 | 前歯のズレが気になっているという事で来院。 上下マウスピースによる矯正治療。 ↓ 画像付き詳細は以下 ↓ |
| 費用 | ¥836,000 |
| デメリット・注意点 | 矯正治療中の痛み |
受付時間 | 10:00~13:00 / 14:30~19:00

Before

After
| 主訴 | 歯並びを治したい。 |
|---|---|
| 診断名 | 上下前歯部叢生 側切歯クロスバイト(交叉咬合) |
| 年齢・性別 | 27歳男性 |
| 治療期間・回数 | 2年2ヶ月 |
| 治療方法 | 前歯のズレが気になっているという事で来院。 上下マウスピースによる矯正治療。 ↓ 画像付き詳細は以下 ↓ |
| 費用 | ¥836,000 |
| デメリット・注意点 | 矯正治療中の痛み |
