すべての投稿
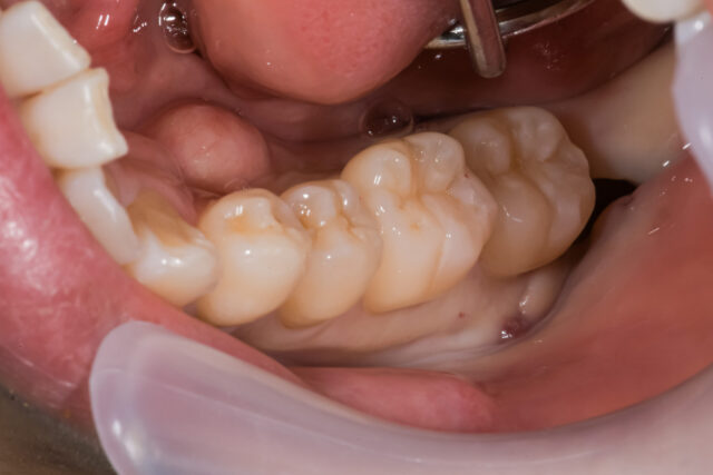
むし歯
タイトルなし

Before

After
| 主訴 | 奥歯の黒いのが気になっている |
|---|---|
| 診断名 | 臼歯部咬合面う蝕 |
| 治療期間・回数 | 1回 |
| 治療方法 | 咬合面の虫歯の部分を削り、コンポジットレジンを詰めた。 咬み合わせを調整し研磨して完了。 詳細は以下、 |
| 費用 | 1カ所あたり、保険で2,000円程度 |
| デメリット・注意点 | 樹脂製の素材のため、経年劣化により素材の摩耗・変色が起こってきます。 |
審美治療
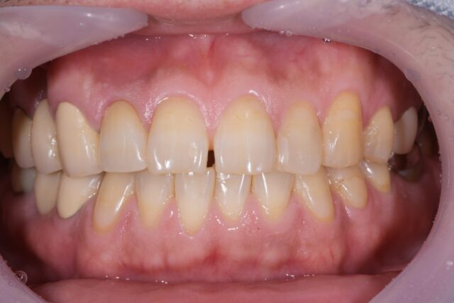
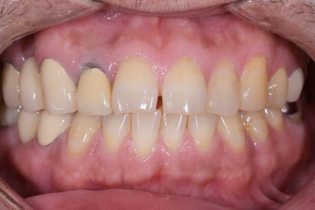
マウスピース矯正+歯を削らないブリッジの治療ケース(後半)

Before

After
| 主訴 | 歯並びを治したい 歯の隙間を改善したい |
|---|---|
| 診断名 | 歯列不正 左上犬歯の先天性欠損 |
| 年齢・性別 | 30代男性 |
| 治療期間・回数 | 治療回数2回 |
| 治療方法 | 歯を殆ど削らない接着性ブリッジ(メリーランドブリッジ)。 隣の上顎左側側切歯の裏側を0.5mmほどの深さで形成。ジルコニアブリッジを接着した。 |
| 費用 | 220,000円 |
| デメリット・注意点 | 長期経過後、接着剤の劣化による脱離の可能性はあります。 |
マウスピース矯正
マウスピース矯正+歯を削らないブリッジの治療ケース(前半)

Before

After
| 主訴 | 歯並びを治したい 歯の隙間を改善したい |
|---|---|
| 診断名 | 歯列不正 左上犬歯の先天性欠損 |
| 年齢・性別 | 30代男性 |
| 治療期間・回数 | 矯正期間1年11か月 |
| 治療方法 | 下の前歯のズレや、上の前歯の隙間などが気になっているという事で、当院のマウスピース矯正により改善をおこないました。 左上のスペース部は接着ブリッジで治療予定。 |
| 費用 | マウスピース製作費 382,800円 定期健診 5,500円 リテーナー代 22,000円 |
| デメリット・注意点 | 矯正治療中の痛み |
審美治療
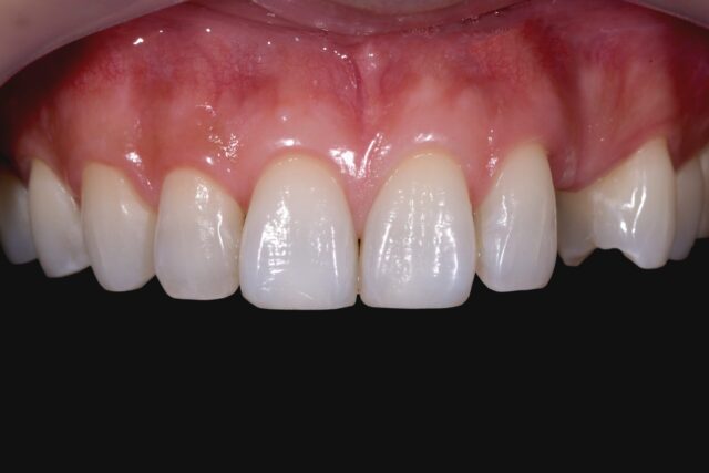
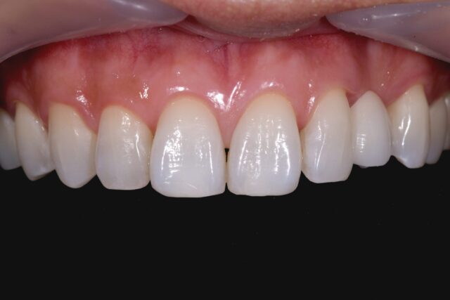
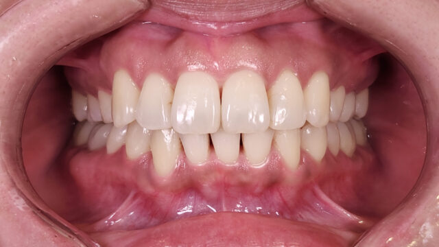
形の悪い前歯の被せものをジルコニアで整えたケース

Before

After
| 主訴 | 前歯の見た目が悪い |
|---|---|
| 診断名 | 前歯部クラウンの不適 |
| 年齢・性別 | 40代女性 |
| 治療期間・回数 | 根の治療を含めて約3ヵ月 |
| 治療方法 | 他院で入れた前歯の見た目が気になっている。 土台が古く状態が良くないため、根の治療から始める。 根の治療完了後、グラスファイバーの土台を入れて綺麗に整えた。 仮歯を利用して歯茎の形を整え、セラミックを3カ所装着して治療完了。 ↓ 画像付き詳細は以下 ↓ |
| 費用 | 前歯のセラミッククラウン¥132,000×2本 前歯のセラミックべニア¥132,000 (保険治療にて根管処置もおこなっています) |
| デメリット・注意点 | 全ての補綴物には脱離・破折の可能性があります。 |
マウスピース矯正
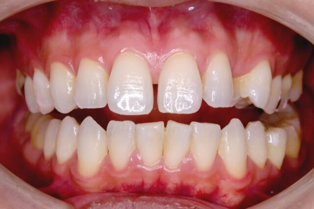
マウスピース矯正で前歯のズレを改善したケース

Before

After
| 主訴 | 歯並びを綺麗にしたい |
|---|---|
| 診断名 | 上下前歯部叢生 |
| 年齢・性別 | 30代女性 |
| 治療期間・回数 | 約4年間 |
| 治療方法 | 前歯のズレが気になっているという事で来院。 右上小臼歯・右下前歯を1本ずつ抜歯し、マウスピースによる矯正治療。 ↓ 画像付き詳細は以下 ↓ |
| 費用 | マウスピース製作費 770,000円 定期健診 5,500円 リテーナー代 22,000円 計、およそ1,000,000円 |
