審美治療
形の悪い前歯の被せものをジルコニアで整えたケース

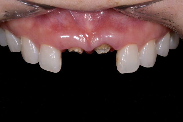
Before

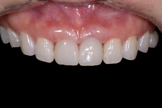
After
| 主訴 | 前歯の見た目が悪い |
|---|---|
| 診断名 | 前歯部クラウンの不適 |
| 年齢・性別 | 40代女性 |
| 治療期間・回数 | 根の治療を含めて約3ヵ月 |
| 治療方法 | 他院で入れた前歯の見た目が気になっている。 土台が古く状態が良くないため、根の治療から始める。 根の治療完了後、グラスファイバーの土台を入れて綺麗に整えた。 仮歯を利用して歯茎の形を整え、セラミックを3カ所装着して治療完了。 ↓ 画像付き詳細は以下 ↓ |
| 費用 | 前歯のセラミッククラウン¥132,000×2本 前歯のセラミックべニア¥132,000 (保険治療にて根管処置もおこなっています) |
| デメリット・注意点 | 全ての補綴物には脱離・破折の可能性があります。 |
11番・21番の見た目が悪い事を主訴に来院。
写真ではわかりづらいが12番のべニアも歯茎まわりの形が良くない。

まずは、被せものを外して神経の治療をやり直す。

治療中の前歯には3Dプリンターで作成した仮歯をセットしておく。

前歯の仮歯がセットされた状態。
この時点では、まだ歯茎の形が対称的でないので、仮歯を調整しながら形を整えていく。

隣のべニアを外し、同じように歯茎の形を揃えていく。

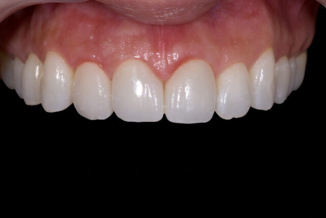
最終的なジルコニアが3本セットされた状態。
見た目の改善に加え、「歯の掃除がしやすくなった」という喜びの感想を頂きました。

